
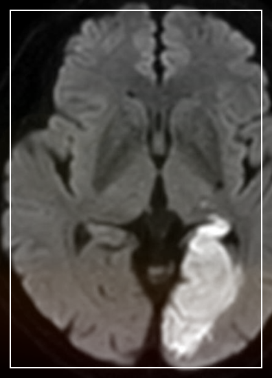
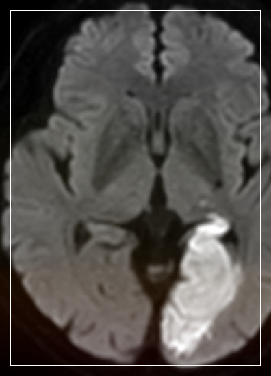
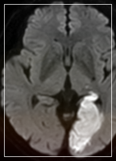
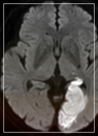
뇌 확산 [Brain Diffusion] MRI에 대한 이해
뇌 확산 MRI는 뇌 속 물 분자의 이동 방향과 속도를 측정하여 뇌의 미세 구조를 보다 정확하게 파악하는 영상 기법입니다. 일반적인 MRI가 뇌의 해부학적 구조를 보여주는 데 초점을 맞춘다면, 확산 MRI는 뇌의 기능적 연결성과 미세 구조 변화를 탐색하는 데 특화되어 있습니다.

1. 왜 뇌 확산 MRI가 중요할까요?
뇌 질환 진단: 뇌종양, 뇌졸중, 뇌 백질 병변 등 다양한 뇌 질환의 진단과 병변의 특성 파악에 활용됩니다.
뇌 발달 연구: 뇌 발달 과정에서의 미세 구조 변화를 관찰하여 뇌 발달의 정상적인 과정과 비정상적인 과정을 비교 분석합니다.
신경퇴행성 질환 연구: 알츠하이머병, 파킨슨병 등 신경퇴행성 질환에서 나타나는 뇌의 미세 구조 변화를 규명하여 질병의 진행 과정을 이해하고 새로운 치료법 개발에 기여합니다.
2. 뇌 확산 MRI의 원리
뇌 속 물 분자는 세포막, 신경섬유 등의 장애물에 의해 제한적으로 이동합니다. 확산 MRI는 이러한 물 분자의 이동 방향과 속도를 측정하여 뇌 조직의 미세 구조에 대한 정보를 얻습니다.
특히, 신경섬유 다발을 따라 물 분자가 더 빠르게 이동하는 현상을 이용하여 뇌의 연결망을 분석할 수 있습니다.
3. 뇌 확산 MRI의 종류
확산텐서영상 (DTI): 신경섬유의 방향성과 무결성을 평가하는 가장 기본적인 기법입니다.
고각 해상도 확산 영상 (HARDI): 복잡한 뇌 영역에서 다발성 신경섬유를 더 정확하게 측정합니다.
확산 커넥톰 영상: 뇌 전체의 연결망을 시각화하여 뇌 기능과의 상관관계를 분석합니다.
4. 뇌 확산 MRI의 장점
비침습적 검사: 방사선에 노출되지 않아 안전합니다.
고해상도 영상: 뇌의 미세 구조를 매우 정확하게 보여줍니다.
다양한 정보 제공: 뇌의 해부학적 구조뿐만 아니라 기능적 연결성에 대한 정보도 제공합니다.
5. 뇌 확산 MRI의 한계
검사 시간이 길다: 고해상도 영상을 얻기 위해 상대적으로 긴 검사 시간이 필요합니다.
데이터 분석이 복잡하다: 얻어진 데이터를 분석하기 위한 전문적인 지식과 소프트웨어가 필요합니다.
6. 뇌 확산 MRI의 미래
뇌 확산 MRI는 뇌 질환의 진단과 치료에 있어서 매우 유용한 도구로 활용될 가능성이 높습니다.
앞으로 더욱 발전된 기술과 분석 방법을 통해 뇌의 비밀을 밝히고,
뇌 질환 치료에 새로운 지평을 열 것으로 기대됩니다.
위 정보는 일반적인 정보 제공을 목적으로 하며, 의학적인 조언을 대체할 수 없습니다.
정확한 진단과 치료는 반드시 의료 전문가와 상담해야 합니다.
당뇨 환자의 정상적인 BMI (Body Mass Index, 체질량지수)와 당뇨환자를 위한 식단 조절
당뇨 환자의 정상적인 BMI (Body Mass Index, 체질량지수)와 당뇨환자를 위한 식단 조절
당뇨 환자의 정상적인 BMI (Body Mass Index, 체질량지수)와 당뇨환자를 위한 식단 조절 당뇨 환자의 정상적인 BMI (Body Mass Index, 체질량지수)BMI는 체중(kg)을 키(m)의 제곱으로 나누어
ohappyhappy.com
위고비 효능과 부작용, 가격에 대한 궁금증!!!
위고비에 대한 궁금증을 풀어 보아요!!!위고비 개요위고비(성분명: 세마글루티드)는 제2형 당뇨병 치료를 목적으로 개발되었으나, 우수한 체중 감량 효과로 비만 치료제로도 널리 사
ohappyhappy.com
댓글