반응형
2022.06.07 CT SCAN
1. pat info.
- M/50대
- fall down
- X-Ray 검사 상 견갑골 골절의심 됨
2.Exam info.
- Axial Scan 후 MPR로 Axial, Coronal, Sagittal image Recon 함
- Rib CT 포함하여 검사함.
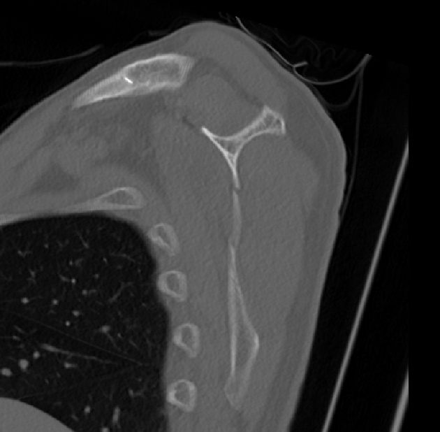
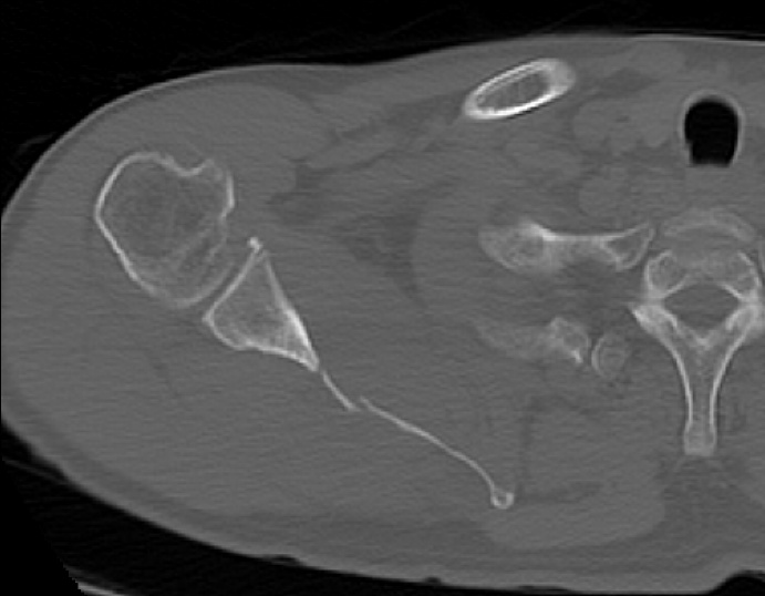
3.Finding.





4.conclusion
mildly displaced fracture of body of scapula.
5. 견갑골은?
두 팔이 몸통과 연결되는, 골격의 일부를 이루는 커다랗고 편평한 역삼각형 모양의 뼈를 말합니다. 견갑골은 흉곽의 뒷면에 좌우대칭으로 제2~제7늑골에 걸쳐 있으며 등의 표면에서 만질 수 있습니다.
앞면은 오목하고 뒷면은 바깥쪽 위로 튀어나와 있는데 그 끝을 견봉이라고 하며 이 부분이 어깨의 정상을 형성하게 됩니다.
견갑골은 몸통과 팔을 연결하고 힘과 움직임을 전달하는 역할을 합니다.
견갑골
척추동물의 어깨부위에 있는 큰 뼈. shoulder blade라고도 함. 사람의 것은 세모꼴이며 제2늑골과 제8늑골 사이인 등의 윗부분에 위치한다. 견갑골의 배면은 비스듬히 가로놓
100.daum.net
연령별 건강 검진 항목은? [국민건강보험공단 건강검진]
안녕하세요~ 코로나19 감염병으로 어느 때 보다 건강에 관한 관심이 뜨거울 때입니다. 주변에 건강증진을 위해서 금연을 하고, 금주를 하며 운동도 열심히 하는 분들이 계십니다. 하지만 이런 노
ohappyhappy.com
반응형
댓글