반응형
2022.06.04 CT SCAN
1. pat info.
- F/50대
- 어제 넘어짐
-velpeau bandage 상태
2.Exam info.
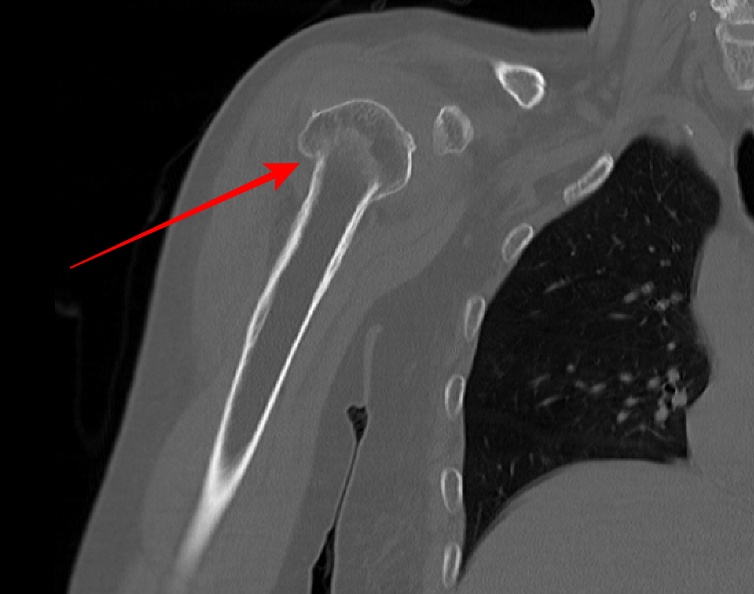
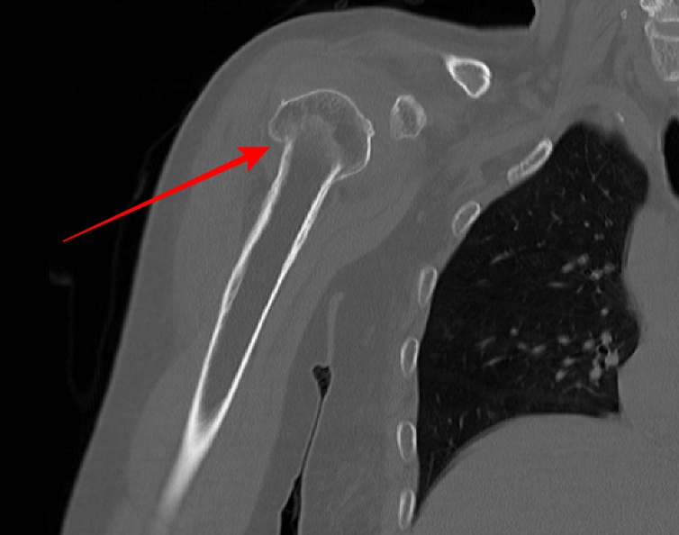
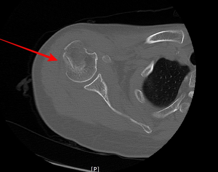
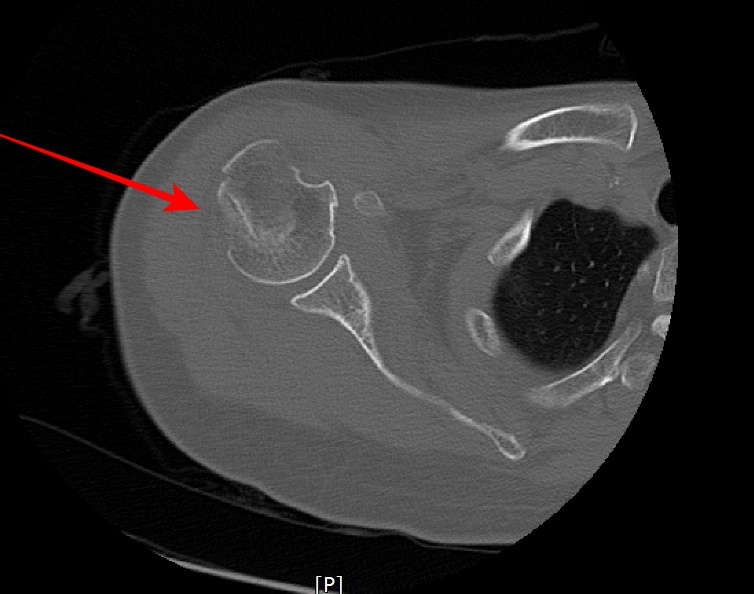
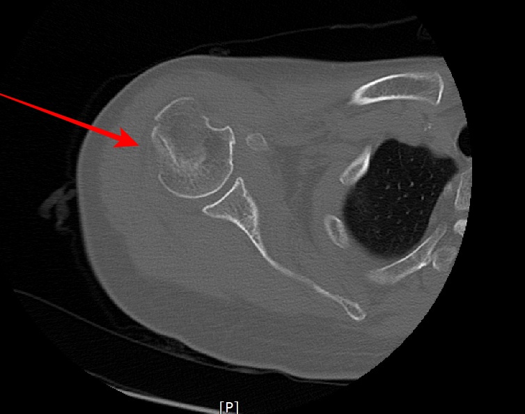
- Rt Shoulder CT
- surgical neck Fx 의심 되어 검사 의뢰됨.
- 오른쪽 어깨에 velpeau bandage를 한 상태로 통증이 있는 상태였다.
3.Finding.
- shoulder 전체를 포함하여 scan 하였다.
- axial 영상을 획득 후 MPR로 재구성하였다.
- 붉은색 화살표가 골절된 부위다.



4.conclusion.
displaced neck fracture of humerus with impaciton
5.comment.
입원 후 수술예정이다.
반응형
댓글